At a Glance
- GDC Number
- 259082
- Qualifications
- BDS (earned from Charles Clifford Dental School, graduated 2015) Certification in Invisalign Full Programme Numerous advanced courses in cosmetic and restorative techniques, including: • Totally Composite Course (Monik Vasant) • Comprehensive Care, Anterior Tooth Morphology, Mini Smile Makeover, and Bio-Aesthetic Restorations (Didier Dietschi programme)
- Languages Spoken
- English
- Clinics
- London | Knightsbridge | HarrodsNotting Hill Gate
Meet Dr. Josh
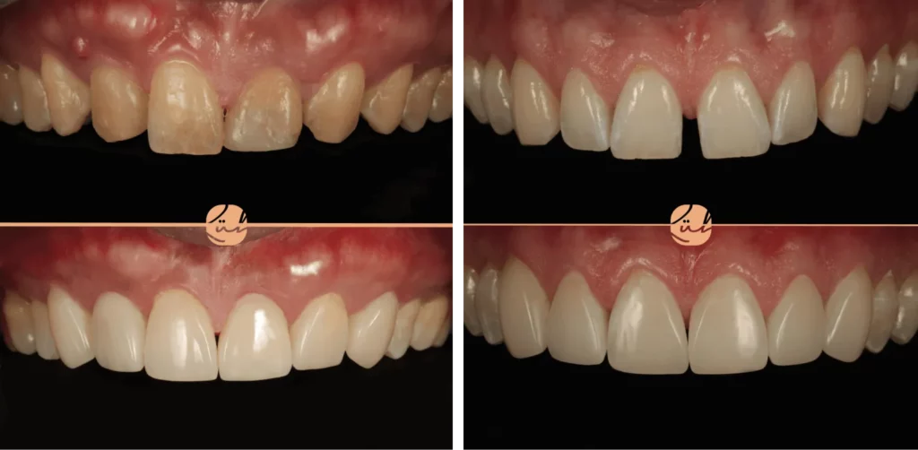
Since completing his dental degree, Josh has invested heavily into aesthetics, training abroad and at home to refine skills in smile design techniques such as composite bonding, porcelain veneers, and Invisalign. He treats each case with meticulous attention to detail, seeing every treatment as a craft. Importantly, he emphasizes clear communication—ensuring patients understand, are comfortable, and confident through each stage of their care. He is also active outside of dentistry in sports and fitness, which reflects in his approach to precision and discipline.
Why Patients Choose Dr. Josh Virdee
For a patient who wants aesthetic dentistry with high standards, who values careful planning and precision.
If you prefer someone who combines both technical training and artistry—someone who sees the smile as both form and function.
Because Josh has experience not only in treatment but also in advanced restorative aesthetics, having studied multiple high-level courses.
His client-first approach, particularly in communication and comfort, makes him approachable even for more involved smile makeovers.
Click to book a free consultation
Blogs
Composite bonding: smile makeover to preserve your tooth structure
With the introduction of more advanced dental technology, techniques and materials, fixing crooked teeth doesn’t have to be a hassle, and one of the most popular solutions is composite bonding. It’s a simple, fast process that can dramatically improve your smile quickly and affordably. Here’s a closer look […]
