Call
Message on WhatsApp
  • London Harrods
  • London Fleet Street
  • London Notting Hill Gate
  • Manchester
instagram facebook youtube
Treatments
Book Now
  • Treatments
  • Pricing
  • Smile Gallery
  • Blog
  • Team
  • Explore
  • Membership
  • Refer as a patient
  • Refer as a dentist
Explore Membership
Refer as a patient Refer as a dentist
Book Now
Tap here and talk to us on WhatsApp

Align

  • Invisalign® Braces
    • Invisalign Lite
    • Invisalign Moderate
    • Invisalign Comprehensive
    • Free Invisalign Consultation

ENHANCE

  • Composite Bonding
  • Porcelain Veneers
  • Whitening

Replace

  • Dental Implants
    • Single Dental Implant
    • Multiple Dental Implants
    • Full Arch Dental Implants
  • Bridges
  • Dentures

General

  • Hygiene
  • Root Canal
  • Extraction
  • Periodontics

Facial

  • Aesthetics
  • Anti-wrinkle treatments
  • Lip Fillers
  • Profhilo
  • Overbite
  • Underbite
  • Missing Teeth
  • Loose Teeth
  • Gappy Teeth
  • Chipped Teeth
  • Crooked Teeth
  • Gummy Smile
  • Worn Teeth
- Step 1 of 11

Complete your Triage Smile Assessment with Rüh Dental

Just upload a few photos of your teeth and this will aid our team in triaging you to the best dentist for your requirements and desires.

How it works:

  1. Fill in the form
  2. Upload your photos
  3. Submit them for review

Contact Details

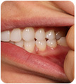
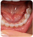
Let's take some photos!

glasses

Remove glasses

camera

Stay close to the camera

flash

Use the flash

Big smile

photo_placeholder
Drag & Drop Files, Choose Files to Upload

Show all your teeth

Open your mouth wide and tilt your chin up and then down for a better view of all your teeth.

Pro Tip: In selfie mode, turn your phone upside down to take pictures of your upper teeth.
Drag & Drop Files, Choose Files to Upload

Drag & Drop Files, Choose Files to Upload

Drag & Drop Files, Choose Files to Upload

Drag & Drop Files, Choose Files to Upload

Drag & Drop Files, Choose Files to Upload

Drag & Drop Files, Choose Files to Upload

Loading

Knightsbridge

Harrods
87-135 Brompton Rd,
London SW1X 7XL
csteam@ruhdental.com 02072255678

West London

Notting Hill Gate
151 Notting Hill Gate Kensington W11 3LF
csteam@ruhdental.com 02036218065

MANCHESTER

Manchester
Unit 5G The Avenue Spinningfields Manchester M3 3FL
csteam@ruhdental.com 0161 348 8000

East / Central London

Fleet Street
54 Fleet St London EC4Y 1JU
csteam@ruhdental.com 02039047655

Start your smile journey today

Book
Popular Dentist Treatments
  • Composite Bonding in London
  • Composite Bonding in Manchester
  • Invisalign Braces in London
  • Teeth Whitening in London
  • Wisdom Tooth Extraction
  • Same Day Dental Fillings
  • Dental Implants in London
  • Dental Implants in Manchester
  • Dental Hygiene in London
  • Veneers in London
  • Root Canal Treatment
Discover Ruh
  • Your Care Team
  • Dentists in Central London
  • Dentists in West London
  • Dentists in Manchester
  • Smile Makeovers
  • Instagram
  • Facebook
  • LinkedIn
Same Day Emergency Dentist

Ruh Dental offers same day dental appointments for Invisalign, Teeth Whitening and Hygiene plus our full range of treatments. 1

Book Appointment

Call our Emergency Dental Team on
0161 348 8738 or find a dentist near me

Ruh Dental (Fleet Street) Limited (09473949), Ruh Dental (Notting Hill Gate) Limited (10288078) and Ruh Dental (Manchester) (11669648) Limited are all registered in England with companies house at 1st Floor Metropolitan House, Darkes Lane, Potters Bar EN6 1AG

© 2025 Ruh Dental. All rights reserved | Terms & Conditions | Privacy Policy
Call Live Chat Online WhatsApp
  • Treatments
    • Invisalign® Braces
      • Invisalign Lite
      • Invisalign Moderate
    • Composite Bonding
    • Porcelain Veneers
    • Whitening
    • Dental Implants
      • Single Dental Implants
      • Multiple Dental Implants
      • Full Arch Dental Implants
    • Bridges
    • Dentures
    • Hygiene
    • Root Canal
    • Extraction
    • Periodontics
    • Aesthetics
    • Anti-wrinkle treatments
    • Lip Fillers
    • Profhilo
  • Pricing
  • Smile Gallery
  • Blog
  • Team
  • Explore
    • Invisalign Overbite
    • Invisalign Underbite
    • Missing Teeth
    • Loose Teeth
    • Gappy Teeth
    • Chipped Teeth
    • Crooked Teeth
    • Gummy Smile
    • Worn Teeth
  • Membership
  • Refer as a patient
  • Refer as a dentist
OUR CLINICS
  • London Harrods
  • London Fleet Street
  • London Notting Hill Gate
  • Manchester
VISIT ×

Start your journey

Book Now

View available appointment time slots and book in at your convenience

Make an Enquiry

Provide us with your details and we'll get in touch

In Clinic Visit

Let’s get you booked in for a free consultation

Make an Enquiry

Leave your details and one of the Team will be in touch within 24 hours to help you

Thank you, Omar

One of our Treatment Co-ordinator’s will be in touch with you shortly to confirm your appointment.

Got a Question?

Speak live with one of our expert dental care team members.

VISIT ×

Start your journey

Book Now

View available appointment time slots and book in at your convenience

Make an Enquiry

Provide us with your details and we'll get in touch

Request a Callback

Leave your number and our team will call you back shortly

In Clinic Visit

Let’s get you booked in for a free consultation

Make an Enquiry

Leave your details and one of the team will be in touch within 24 hours to help you

Join the Harrods Waitlist

Join the waitlist and we'll notify you when availability opens at Harrods

Request a Callback

Leave your number and our team will call you back shortly

Loading

Thank you, Omar

One of our Treatment Co-ordinator’s will be in touch with you shortly to confirm your appointment.

Got a Question?

Speak live with one of our expert dental care team members.

VISIT ×

Make an Enquiry

Leave your details and one of the team will be in touch within 24 hours to help you

Thank you, Omar

One of our Treatment Co-ordinator’s will be in touch with you shortly to confirm your appointment.

Got a Question?

Speak live with one of our expert dental care team members.

Visit ×

Online Visit

Tell our dentists about your teeth and get a free treatment plan
Visit ×

Emergency Visit

Visit ×

In Clinic Visit

Book a free consultation with our treatment co-ordinator.